ABSTRACT:
The prevalence and impact of COVID-19, or the novel Coronavirus, is unprecedented in modern history and unparalleled in the clinical and healthcare communities in the world. Millions of people across the world have been forced to completely alter their lifestyles, while sacrificing critical components of their livelihoods ranging from education, income and career stability. Out of this crisis, however, the flaws and shortcomings of one institution in the United States has become evident: an unjust, woefully unprepared, and indifferent healthcare system. Across the country, the serious shortcomings associated with the realities of health insurance coverage, clinical and laboratory innovation, and patient care are made evident and are thereby intensified by COVID-19.
INTRODUCTION:
On December 31, 2019, Chinese authorities alerted the World Health Organization (WHO) of an outbreak of a novel strain of coronavirus causing severe illness, which was subsequently named SARS-CoV-2, and later named COVID-19 (Anderson, 2020). Thereupon, as of 29 March 2020, the highly transmissible and fatal virus has infected 638,146 people and caused 30,105 deaths in 203 countries, areas or territories globally (WHO, 2020). As a result, the American healthcare system, in particular, is being directly jeopardized as a collective result of its deficient primary care capability, lack of reserve capacity to handle health care crises such as COVID-19, and weak private-public partnerships with regard to government, the economy, and academic institutions (Blumenthal and Seervai, 2020). In addition, the biomedical, clinical, and virus-based statistics and scientific patterns of COVID-19 indeed directly undermine conventional healthcare practices in the U.S., while presenting unprecedented respiratory and airborne threats (Annals of Internal Medicine, 2020).
SCIENTIFIC ANALYSIS OF COVID-19:
Coronaviruses are a type of virus. The term encompasses a wide range of respiratory-related viruses, and some may cause disease. A newly identified type, COVID-19, serves as a highly transmissible and lethal respiratory illness—now considered a pandemic globally. Common clinical products and representations of COVID-19 include fever, cough, shortness of breath, myalgia, and fatigue (Qin et al., 2020). In rare cases, these symptoms and clinical difficulties may cause severe respiratory problems, kidney failure, or death (Sauer, 2020).
Although the initial source and cause in formation of the novel Coronavirus are unknown, scientific data supports the comprehensive theory linked to direct the animal-to-human transmission mechanism centered around the Huanan Seafood Wholesale Market of Wuhan (Cascella et al., 2020). The CoVs have become the major pathogens of emerging respiratory disease outbreaks in recent decades—prevalent across global health realities and occurrences. They are a large family of single-stranded RNA viruses (+ssRNA) that can be isolated in different animal species; for unknown reasons, these viruses can cross species barriers and can cause illness ranging from the common ‘cold’ to more severe diseases such as MERS and SARS (Cascella et al., 2020).
Genetic scientific evidence and research has indicated that the genome of the new HCoV, isolated from a cluster-patient with atypical pneumonia after visiting Wuhan, had 89% nucleotide identity with bat SARS-like-CoVZXC21 and 82% with that of human SARS-CoV; its single-stranded RNA genome contains 29891 nucleotides or 9860 amino acids (Chan et al., 2020). Although its origins are not entirely understood, these genomic summaries imply that SARS-CoV-2 probably evolved from a strain found in bats (Cascella et al., 2020).
CoVs are enveloped, positive-stranded RNA viruses with nucleocapsid. Transcription termination occurs at transcription regulatory sequences, specifically located between the so-called open reading frames (ORFs) that work as templates for the production of subgenomic mRNAs; many ORFs encode for structural proteins, including spike, membrane, envelope, and nucleocapsid proteins (Perlman and Netland, 2009). For example, research highlighted how nsp is able to block the host innate immune response; in retrospect with functions of structural proteins, the envelope has a crucial role in virus pathogenicity as it promotes viral assembly and release, one instance portraying the clinical and biochemistry complexities of the virus (Lei et al., 2018).
Figure 1. This figure illustrates the basic genome associated with COVID-19. It incorporates several genetic structures including Spike Glycoproteins (S) and Nucleoproteins (N), critical elements in immune reactions and viral assembly.
CLINICAL AND HUMAN HEALTH IMPLICATIONS OF COVID-19:
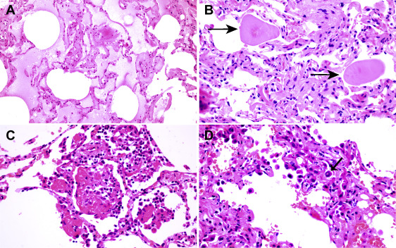
Ultimately, as a result of the given genome sequence and protein structure of COVID-19, respiratory, cardiac, and nearby organ function was significantly reduced. Based on biopsies of virus patients, it has been confirmed that the alveolar structure relative to pulmonary tissue can be destroyed to varying degrees, while a small amount of serous exudation may be seen in the alveolar cavity paired with the formation of a transparent membrane (Xiaohong, et al., 2020).

Figure 2. This figure demonstrates histologic changes evident in pulmonary tissue: proteinaceous exudates in alveolar spaces, with granules; (B) scattered large protein globules (arrows); (C) intra-alveolar fibrin with early organization, mononuclear inflammatory cells, and multinucleated giant cells; (D) hyperplastic pneumocytes, some with suspected viral inclusions (arrow).
In addition, “hypertrophy of cardiomyocytes, degeneration and necrosis of some cardiomyocytes, mild hyperemia and edema of interstitial cells, and infiltration of a small amount of lymphocytes, monocytes and neutrophils” were seen in numerous studies conducted under different conditions and clinical settings (Xiaohong, et al., 2020). Significant tissue damage to the heart is mostly evident in older populations, signifying the epidemiologic and policy-oriented attention given towards the demographic of senior citizens.
Figure 3. This figure illustrates HE staining and immunohistochemical staining of punctured heart tissue for testing purposes; shows cardiomyocyte hypertrophy, degeneration, necrosis, scattered inflammatory cell infiltration, and related cardiac issues.
Ultimately, as reinforced by current research being conducted globally, COVID-19 may manifest itself in distinctly differing manners among the general population. It may manifest itself in mild, moderate, or severe illness; among the clinical manifestations, there may be prevalence of severe pneumonia, ARDS, sepsis, and septic shock (Wu and McGoogan, 2019). As a result of these unparalleled and highly dynamic bodily conditions and reactions, public health institutions and systems find great challenge in productively and effectively addressing the health and well-being of the general population.
PUBLIC HEALTH CONCERNS ASSOCIATED WITH COVID-19:
COVID-19 poses an unprecedented public health threat as a result of its unique clinical properties and evident parameters of lethality and impact, including: highly transmissible properties, progressive respiratory and pathologic impact in vulnerable individuals, concealed or asymptomatic conditions for large portion of general population, long virus life, and relatively high mortality rate.
According to research conducted by the National Institutes of Health (NIH), Centers for Disease Control (CDC), UCLA, and Princeton University, COVID-19 is detectable in aerosols for up to three hours, copper up to four hours, cardboard up to 24 hours, and plastic and stainless steel for up to two to three days (Katella, 2019). The virus on materials apparent in frequently-touched surfaces poses a serious threat—forcing the general population to practice new forms of personal hygiene, interactions, and cleaning protocol.
Moreover, the modes of transmission for novel Coronavirus remain open-ended, forcing the general population and healthcare providers to maximize all possible precautions—often involving shutting down of schools and work facilities, public attractions and spaces, and other institutions—leaving profound impacts on the economy and productivity of society. According to current clinical evidence, COVID-19 is primarily transmitted between people through respiratory droplets and contact routes, not involving any airborne path (WHO, 2020). Droplet transmission occurs when a person is in in close contact (within 1 m) with someone who has respiratory symptoms (e.g., coughing or sneezing) and is therefore at risk of having his/her mucosae (mouth and nose) or conjunctiva (eyes) exposed to potentially infective respiratory droplets (of COVID-19); therefore, transmission of the COVID-19 can occur by direct contact with infected people and indirect contact with surfaces in the immediate environment or with objects used on the infected person (Ong et al., 2020). On the other hand, aerosol or airborne transmission (defined by presence of microbes within droplet nuclei, which are generally considered to be particles <5μm in diameter) is possible under specific circumstances and settings in which procedures or support treatments that generate aerosols are performed; examples may include non-invasive positive-pressure ventilation and cardiopulmonary resuscitation (Cheng et al., 2020).

Figure 4. This figure demonstrates common paths of transmission for COVID-19. Evidence suggests that the virus is mostly transmitted through droplet form, but can be dangerous under certain circumstances (evident in aerosol form).
Lastly, numerous studies have documented SARS-CoV-2 infection in patients who never develop symptoms (asymptomatic) and in patients not yet symptomatic (pre-symptomatic). One study found that as many as 13% of RT-PCR-confirmed cases of SARS-CoV-2 infection in children were asymptomatic (Dong et al., 2020). Another report concluded that half of (50%) nursing facility residents infected with SARS-CoV-2 from a frontline healthcare worker were asymptomatic or pre-symptomatic at the time of contact tracing evaluation and testing (Kimball et al., 2020). As a result of common reports of asymptomatic behavior, transmission can be intensified through individuals unsure of their carrier status, and able to infect others if not in compliance with basic social distancing or cleaning measures.
COVID-19 TESTING:
The medical and biochemical properties of COVID-19 have created a pandemic which has resulted in a national testing crisis—one major impact on the American healthcare system and providers across the nation. In a time of unprecedented crisis, it is critical that the federal government maintains transparency, effective communication, and an environment for creative collaboration. As a result of policy and structural failures, COVID-19 testing across the U.S. has been limited and in short supply to those in most need of testing.
As a result of a limited testing range, the scientific data that can be compiled, analyzed, and integrated at the highest levels of policy-making is severely skewed. Invalid and misleading data can increase stress on healthcare providers and hospitals (no clarity), and possibly produce scientific and clinical results which are inaccurate or nonfactual (CDP, 2020). The crucial purpose for testing a wide range of communities—regardless of socioeconomic status or resources—is to support the government in understanding how prevalent the disease is and how it is evolving; tracking positive test results helps authorities make evidence-based decisions to try to slow the spread of the disease (Wood, 2020).
Ultimately, the testing crisis in the U.S. has shown one critical shortcoming: the healthcare institutions and individual, private companies/laboratories are not properly regulated, oversawn, or incentivized to handle crisis situations or support citizens when most in need.
COVID-19 TREATMENT AND HEALTHCARE FRAMEWORK:
Hospitals, clinics, and healthcare providers across the nation are suffering the dire consequences of such a pressing crisis—an accumulation of fear, anxiety, lack of resources, and alienation concerning basic conditions of support and assistance. As found in a multitude of research studies, compared to most similarly large and wealthy countries, the U.S. has fewer practicing physicians per capita but has a similar number of licensed nurses per capita; the U.S. also has more hospital-based employees per capita than most other comparable countries, but nearly half of these hospital workers are non-clinical staff (Kamal et al., 2020). A large portion of hospital staff across the country are administrative or non-clinical (especially as compared to comparable nations), leaving a serious burden on nurses, physicians, and other providers in the form of long hours and increased exposure to the virus.
In addition, beyond the lack of personnel throughout facilities in the nation, a vast majority of these institutions lack the necessary precautionary materials, resources, and PPE to protect themselves, patients, and the integrity of hygiene in facilities. The majority of workers who keep America’s hospitals operational do not have the salary to afford extra bedrooms, much less extra properties. For technicians, respiratory therapists, first responders, and cleaning staff—individuals on the frontlines—doing their job is an act of moral conflict; without adequate PPE and resources, they’re putting their own health at risk every time they report for duty, as well as that of their families (Hamblin, 2020). In addition, as made evident in a study conducted by Peterson-KFF Health System Tracker, the U.S. has fewer hospitals and hospital beds per capita compared to other similar countries.
Figure 5. This figure illustrates the U.S.’ hospital density. The U.S. had 17.1 hospitals per million people in 2016, which is significantly fewer than most other comparable countries.
Collectively, critical equipment such as ventilators and beds are also in short supply, with the U.S. having a national supply of 160,000 ventilators and 45,000 intensive care unit (ICU) beds (Blumenthal and Seervai, 2020). In a severe outbreak of respiratory illness like COVID-19, as many as 2.9 million Americans might need ICU care. These issues will be particularly acute in rural areas, where shortages of health professionals and emergency facilities are evident in non-emergency conditions as well.
APPROPRIATE SYSTEMATIC HEALTHCARE CHANGES NEEDED:
In order to prepare the American healthcare system for more inevitable medical disasters, as well as average care, serious reforms in the scope of policy, clinical innovation, and private-public partnerships must be analyzed and improved. In 2018, 8.5 percent of the American population, or 27.5 million, did not have health insurance at any point during the year, approximately a seven percent increase from the previous year (Berchick et al., 2019). The American healthcare system has long neglected to serve the interests of ordinary citizens—unfortunately serving as the embodiment of corporate greed, high insurance premiums and additional costs, and lack of accountability and oversight on part of government. It is undeniable that private industry and enterprise is the greatest source of innovation and creativity in an economy and collective society. However, with that ideology in mind, COVID-19 has profoundly exposed the lack of emphasis on premium care, the abuse and wastefulness of major corporations and insurance companies, and the severe lack of government accountability in the face of emergency and concerning hospital personnel and resources.
It is essential for the government to take a more hands-on approach in serving the American people’s healthcare needs, instituting definite policy oriented towards ensuring market equality, affordability, and access for all citizens; incentivizing clinical research and disaster preparedness; and puttinge more explicit and thorough disaster/emergency mechanisms into place. Private industries and clinical innovation are the heart of American democracy and ingenuity, but a stronger public-private partnership, paired with explicit preparedness and collaboration protocol among federal, state, and local agencies, undoubtedly serve the best interests of the American people.
CONCLUSION:
The public health crisis of COVID-19 has demonstrated both unprecedented clinical and policy adversity and challenges to the general population. As the scientific research and medical studies progress, it is undeniable that the effects of COVID-19—based on its unparalleled scientific qualities and traits—serve as a key moment in time to comprehensively and thoroughly analyze the inefficacy of the American healthcare system and the changes that need to be made. Regardless of those specific policy decisions, it must be made clear at the highest levels of government and public policy, that the health and well-being of the American people is the first and foremost priority. The science and medicine is clear; however, the framework to which these critical disciplines of STEM can operate within for generations to come is going to be determined during the 21st century—a moment defined by crisis and adversity—but designed for national and global improvement.
WORKS CITED:
- Australian Government Department of Health. “What You Need to Know about Coronavirus (COVID-19).” Australian Government Department of Health, 25 Mar. 2020, www.health.gov.au/news/health-alerts/novel-coronavirus-2019-ncov-health-alert/what-you-need-to-know-about-coronavirus-covid-19.
- Blumenthal, David, and Shanoor Seervai. “Coronavirus Is Exposing Deficiencies in U.S. Health Care.” Harvard Business Review, 25 Mar. 2020, hbr.org/2020/03/coronavirus-is-exposing-deficiencies-in-u-s-health-care.
- Cascella, Marco. “Features, Evaluation and Treatment Coronavirus (COVID-19).” StatPearls [Internet]., U.S. National Library of Medicine, 20 Mar. 2020, www.ncbi.nlm.nih.gov/books/NBK554776/.
- Cheng V, Wong S-C, Chen J, Yip C, Chuang V, Tsang O, et al. Escalating infection control response to the rapidly evolving epidemiology of the Coronavirus disease 2019 (COVID-19) due to SARS-CoV-2 in Hong Kong. Infect Control Hosp Epidemiol. 2020 Mar 5 [Epub ahead of print].
- “Coronavirus.” World Health Organization, World Health Organization, www.who.int/emergencies/diseases/novel-coronavirus-2019.
- “COVID-19 Coronavirus Epidemic Has a Natural Origin.” ScienceDaily, ScienceDaily, 17 Mar. 2020, www.sciencedaily.com/releases/2020/03/200317175442.htm.
- “COVID-19 Transmission.” World Heart Federation, www.world-heart-federation.org/resources/covid-19-transmission/.
- Disasterphilanthropy.org, disasterphilanthropy.org/disaster/2019-ncov-coronavirus/.
- Dong Y, Mo X, Hu Y, et al. “Epidemiological Characteristics of 2143 Pediatric Patients With 2019 Coronavirus Disease in China.” Pediatrics. 2020.
- Hamblin, James. “The Curve Is Not Flat Enough.” The Atlantic, Atlantic Media Company, 30 Mar. 2020, www.theatlantic.com/health/archive/2020/03/coronavirus-forcing-american-hospitals-ration-care/609004/.
- Kamal, Rabah. “How Prepared Is the US to Respond to COVID-19 Relative to Other Countries?” Peterson-Kaiser Health System Tracker, www.healthsystemtracker.org/chart-collection/how-prepared-is-the-us-to-respond-to-covid-19-relative-to-other-countries/#item-total-hospitals-per-1000000-population-2017-or-nearest-year.
- Katella, Kathy. “5 Things Everyone Should Know About the Coronavirus Outbreak.” Yale Medicine, 30 Mar. 2020, www.yalemedicine.org/stories/2019-novel-coronavirus/.
- Kimball A HK, Arons M, et al. Asymptomatic and Presymptomatic SARS-CoV-2 Infections in Residents of a Long-Term Care Skilled Nursing Facility — King County, Washington, March 2020. MMWR Morbidity and mortality weekly report. 2020;ePub: 27 March 2020.
- Lei, Jian, et al. “Nsp3 Of Coronaviruses: Structures and Functions of a Large Multi-Domain Protein.” Antiviral Research, U.S. National Library of Medicine, Jan. 2018, www.ncbi.nlm.nih.gov/pubmed/29128390.
- Mahase, Elisabeth. “Coronavirus: Global Stocks of Protective Gear Are Depleted, with Demand at ‘100 Times’ Normal Level, WHO Warns.” The BMJ, British Medical Journal Publishing Group, 10 Feb. 2020, www.bmj.com/content/368/bmj.m543.
- “Management of Patients with Confirmed 2019-NCoV.” Centers for Disease Control and Prevention, 20 Mar. 2020, www.cdc.gov/coronavirus/2019-ncov/hcp/clinical-guidance-management-patients.html.
- “Modes of Transmission of Virus Causing COVID-19: Implications for IPC Precaution Recommendations.” World Health Organization, www.who.int/news-room/commentaries/detail/modes-of-transmission-of-virus-causing-covid-19-implications-for-ipc-precaution-recommendations.
- Ng, Kangqi, et al. “COVID-19 and the Risk to Health Care Workers: A Case Report.” Annals of Internal Medicine, 16 Mar. 2020, https://annals.org/aim/fullarticle/2763329/covid-19-risk-health-care-workers-case-report
- Ong SW, Tan YK, Chia PY, Lee TH, Ng OT, Wong MS, et al. Air, surface environmental, and personal protective equipment contamination by severe acute respiratory syndrome coronavirus 2 (SARS-CoV-2) from a symptomatic patient. JAMA. 2020 Mar 4 [Epub ahead of print].
- Perlman, Stanley, and Jason Netland. “Coronaviruses Post-SARS: Update on Replication and Pathogenesis.” Nature Reviews. Microbiology, Nature Publishing Group UK, June 2009, www.ncbi.nlm.nih.gov/pmc/articles/PMC2830095/.
- Qin, Chunxia., et al. “18 F-FDG PET/CT Findings of COVID-19: a Series of Four Highly Suspected Cases.” European Journal of Nuclear Medicine and Molecular Imaging, Springer Berlin Heidelberg, 1 Jan. 1970, https://www.springermedizin.de/covid-19/18f-fdg-pet-ct-findings-of-covid-19-a-series-of-four-highly-susp/17734118
- Tian, Sufang, et al. “Pulmonary Pathology of Early-Phase 2019 Novel Coronavirus (COVID-19) Pneumonia in Two Patients With Lung Cancer.” Journal of Thoracic Oncology, Elsevier, 28 Feb. 2020, www.sciencedirect.com/science/article/pii/S1556086420301325.
- “What Is Coronavirus?” What Is Coronavirus? | Johns Hopkins Medicine, www.hopkinsmedicine.org/health/conditions-and-diseases/coronavirus.
- Wood, Johnny. “The World Health Organization Has Called on Countries to ‘Test, Test, Test’ for Coronavirus – This Is Why.” World Economic Forum, www.weforum.org/agenda/2020/03/coronavirus-covid-19-testing-disease/.
- Xiaohong, Yao, et al. “A Pathological Report of Three COVID-19 Cases by Minimally Invasive Autopsies.” Chinese Journal of Pathology, Chinese Medical Journals Publishing House Co., Ltd., 15 Mar. 2020, https://www.ncbi.nlm.nih.gov/pubmed/32172546

Leave a comment